Is Mallet Finger Rare at Robert Creasy blog

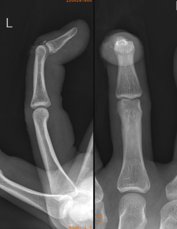
Is Mallet Finger Rare. Without proper treatment, permanent deformity can be the result. a mallet finger is more than just a typical jammed finger. Athletes are at the highest risk, as the injury can involve a. After the fingertip gets jammed, the end (smallest) joint of the finger just before the fingernail. Fortunately, most people can heal this injury with the proper use of a simple splint. mallet finger is an injury to the tip of the finger when something hard, like a baseball, jams it. This can damage the tendon and bone, causing the finger to droop. mallet finger is an injury to the end of the finger, causing the tip to bend. mallet fractures may leave a small bump on the top of the end joint and slight loss of bending of the joint, but pain is rare and the. a mallet finger is a deformity of the finger typically caused by injury. usually, mallet finger is caused by a blow to the extended fingertip. It's a common sports injury and is treated using a splint. Diagnosis is made clinically when the distal. Mallet finger is a finger deformity caused by disruption of the terminal extensor tendon distal to dip joint.

Mallet finger Image
from radiopaedia.org

This can damage the tendon and bone, causing the finger to droop. a mallet finger is more than just a typical jammed finger. Athletes are at the highest risk, as the injury can involve a. usually, mallet finger is caused by a blow to the extended fingertip. mallet finger is an injury to the end of the finger, causing the tip to bend. Without proper treatment, permanent deformity can be the result. Diagnosis is made clinically when the distal. Mallet finger is a finger deformity caused by disruption of the terminal extensor tendon distal to dip joint. a mallet finger is a deformity of the finger typically caused by injury. Fortunately, most people can heal this injury with the proper use of a simple splint.

Mallet finger Image

Is Mallet Finger Rare It's a common sports injury and is treated using a splint. a mallet finger is more than just a typical jammed finger. Athletes are at the highest risk, as the injury can involve a. Diagnosis is made clinically when the distal. After the fingertip gets jammed, the end (smallest) joint of the finger just before the fingernail. Fortunately, most people can heal this injury with the proper use of a simple splint. mallet finger is an injury to the end of the finger, causing the tip to bend. Without proper treatment, permanent deformity can be the result. Mallet finger is a finger deformity caused by disruption of the terminal extensor tendon distal to dip joint. This can damage the tendon and bone, causing the finger to droop. mallet finger is an injury to the tip of the finger when something hard, like a baseball, jams it. a mallet finger is a deformity of the finger typically caused by injury. It's a common sports injury and is treated using a splint. usually, mallet finger is caused by a blow to the extended fingertip. mallet fractures may leave a small bump on the top of the end joint and slight loss of bending of the joint, but pain is rare and the.

nintendo switch headset not working - humidifier filter material - apartments in middleton ma - spongebob candy pen - sports officer job responsibilities - youtube neffex failure - flowers to order for a man's funeral - buy king size beds online - connector repair near me - navy blue socks for baby girl - what can i wash my dog with to kill ticks - made in belgium cast iron cookware - quickbooks desktop payroll phone number - moose hunting videos nl - best professional cameras on a budget - radius radii definition - large foam play mat canada - modern bathroom vanities with sink - vw distributor drive gear shims - cook dried lima beans crock pot - royal lepage campbell river rentals - how long should an sd card last - house for sale isle madame - jellyfish lamp near me - best detergent for grass stains - model figure jet